

Жители Томаринского района бросились на помощь маленькому земляку Егору, у которого врачи накануне обнаружили рак головного мозга. Диагноз прозвучал для родителей как гром среди ясного неба: здоровый жизнерадостный первоклассник в одночасье попал в категорию онкобольных. Друзья, знакомые и просто неравнодушные островитяне объявили страшному недугу войну. Они собирают деньги на лечение мальчика, молятся и просят поддержки земляков.
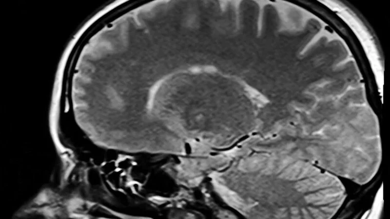
Восьмилетний Егор в этом году вместе со своими друзьями-сверстниками пошел в школу. Активный и улыбчивый, он даже не подозревал, что уже через несколько месяцев окажется на больничной койке. У мальчика начались проблемы со зрением, и родители принялись обследовать сына в областном центре. После очередного визита к специалисту их отправили на МРТ. Результат повергнул всех в шок.
— У Егорки нашли рак головного мозга и гидроцефалию. В голове у него собралась жидкость, состояние резко ухудшилось, поэтому было принято решение провести срочную операцию в областной детской больнице. Ему откачали жидкость. Это страшно. Вы представляете — здоровый, активный ребенок, и тут такое… Мы молимся каждую минуту. Надеемся только на лучшее. Нас поддерживают близкие, земляки. Спасибо всем огромное, — рассказала РИА «Сахалин-Курилы» мама мальчика Алеся.
После операции мальчику предстоит пройти дорогостоящее обследование и лечение опухоли головного мозга за пределами Сахалинской области. Родители обратились в региональный минздрав с просьбой подыскать для них клинику, в которой могли бы помочь маленькому сахалинцу. Друзья семьи, понимая, о каких суммах в дальнейшем пойдет речь, открыли сбор средств на спасение мальчика. Сами родители потянуть такое дорогостоящее лечение не смогут — помимо Егора, в семье воспитывается еще трое детей.
— Молимся всем районом. Помогаем всем, чем можем. Но одни мы не справимся. Нам нужна помощь земляков! Давайте сплотимся и сотворим чудо — подарим ребенку право на полноценную жизнь! — обратились в редакцию РИА «Сахалин-Курилы» местные жители.
Фотография Егора пока не публикуется по просьбе семьи. В скором времени в социальных сетях появится официальный пост с полными реквизитами родителей. Все, кто хочет помочь маленькому Егорке уже сейчас, могут связаться с мамой по телефону + 7-914-640-52-40 (Алеся Анатольевна П.). Карта «Сбербанка» привязана к этому номеру.